Implanty zygomatyczne to specjalistyczne rozwiązanie stomatologiczne, które ma na celu odbudowę utraconych zębów w sytuacjach, gdy tradycyjne implanty nie mogą być zastosowane. Zwykle są one stosowane u pacjentów, którzy doświadczyli znacznej utraty kości w szczęce, co uniemożliwia umieszczenie standardowych implantów. Implanty te są dłuższe i mocowane nie w żuchwie, ale w kości jarzmowej, co pozwala na ich stabilizację w obszarze, gdzie tkanka kostna jest bardziej zachowana. Dzięki temu pacjenci mogą cieszyć się nowymi zębami bez konieczności przeprowadzania skomplikowanych zabiegów przeszczepu kości. Procedura wszczepienia implantów zygomatycznych jest bardziej skomplikowana niż tradycyjnych implantów, ale daje możliwość odbudowy uśmiechu nawet w trudnych warunkach anatomicznych. Warto zaznaczyć, że tego rodzaju implanty są szczególnie polecane osobom, które straciły zęby na skutek urazów lub chorób periodontologicznych.
Jakie są zalety implantów zygomatycznych dla pacjentów
Implanty zygomatyczne oferują szereg korzyści dla osób borykających się z problemem utraty zębów oraz niedoborem tkanki kostnej. Przede wszystkim umożliwiają one szybszą rehabilitację stomatologiczną, co oznacza, że pacjenci mogą uzyskać nowe zęby w krótszym czasie niż w przypadku tradycyjnych rozwiązań. Dodatkowo, dzięki ich specyfice, można uniknąć skomplikowanych zabiegów przeszczepu kości, które często wiążą się z długim czasem rekonwalescencji oraz wyższymi kosztami. Implanty te są również bardzo stabilne i trwałe, co sprawia, że pacjenci mogą cieszyć się pełnią funkcji żucia oraz estetyką uśmiechu przez wiele lat. Warto również zauważyć, że dzięki zastosowaniu implantów zygomatycznych można poprawić jakość życia pacjentów poprzez zwiększenie pewności siebie oraz komfortu psychicznego. Osoby noszące protezy często borykają się z dyskomfortem i ograniczeniami w jedzeniu, a implanty eliminują te problemy.
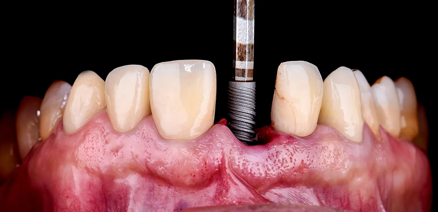
Jak przebiega zabieg wszczepienia implantów zygomatycznych

Zabieg wszczepienia implantów zygomatycznych wymaga starannego planowania oraz dokładnej diagnostyki przedoperacyjnej. Na początku lekarz przeprowadza szczegółowe badania obrazowe, takie jak tomografia komputerowa, aby ocenić stan kości oraz zaplanować odpowiednie umiejscowienie implantów. Sam zabieg zazwyczaj odbywa się w znieczuleniu ogólnym lub miejscowym i trwa kilka godzin. Lekarz wykonuje nacięcie w dziąśle oraz przygotowuje miejsce do umieszczenia implantu w kości jarzmowej. Po wszczepieniu implantu następuje proces gojenia, który może trwać od kilku tygodni do kilku miesięcy. W tym czasie organizm integruje implant z tkanką kostną, co zapewnia jego stabilność i funkcjonalność. Po zakończeniu procesu gojenia można przystąpić do wykonania koron protetycznych, które będą osadzone na wszczepionych implantach.
Kto powinien rozważyć zastosowanie implantów zygomatycznych
Implanty zygomatyczne są idealnym rozwiązaniem dla osób cierpiących na poważny niedobór tkanki kostnej w szczęce, które nie kwalifikują się do tradycyjnych implantów stomatologicznych. Często dotyczy to pacjentów po urazach twarzoczaszki lub tych, którzy stracili zęby na skutek chorób przyzębia czy nowotworów. Osoby te mogą mieć trudności w noszeniu protez ruchomych ze względu na ich niestabilność oraz dyskomfort podczas jedzenia czy mówienia. Implanty zygomatyczne dają im szansę na odzyskanie pełnej funkcji żucia oraz estetyki uśmiechu bez konieczności przechodzenia przez skomplikowane procedury przeszczepu kości. Warto jednak pamiętać, że przed podjęciem decyzji o wszczepieniu takich implantów należy skonsultować się ze specjalistą oraz przeprowadzić dokładną analizę stanu zdrowia jamy ustnej i ogólnego stanu zdrowia pacjenta.
Jakie są koszty związane z implantami zygomatycznymi
Koszty związane z wszczepieniem implantów zygomatycznych mogą się znacznie różnić w zależności od wielu czynników, takich jak lokalizacja kliniki, doświadczenie lekarza oraz zakres przeprowadzanych procedur. Zazwyczaj cena takiego zabiegu jest wyższa niż w przypadku tradycyjnych implantów stomatologicznych ze względu na skomplikowaną naturę operacji oraz specjalistyczne umiejętności wymagane do jej przeprowadzenia. Koszt jednego implantu zygomatycznego może wynosić od kilku do kilkunastu tysięcy złotych, a całkowity koszt leczenia, obejmujący konsultacje, badania diagnostyczne oraz wykonanie koron protetycznych, może sięgać nawet kilkudziesięciu tysięcy złotych. Warto również uwzględnić dodatkowe wydatki związane z opieką pooperacyjną oraz ewentualnymi wizytami kontrolnymi. Wiele klinik oferuje różne opcje finansowania, co może ułatwić pacjentom pokrycie kosztów leczenia.
Jakie są możliwe powikłania po wszczepieniu implantów zygomatycznych
Jak każdy zabieg chirurgiczny, wszczepienie implantów zygomatycznych wiąże się z pewnym ryzykiem powikłań. Choć większość pacjentów przechodzi przez procedurę bezproblemowo, istnieje możliwość wystąpienia komplikacji takich jak infekcje, krwawienia czy uszkodzenia nerwów. Infekcje mogą wystąpić w miejscu wszczepienia implantu i mogą prowadzić do konieczności usunięcia implantu oraz dodatkowego leczenia. Krwawienia są również możliwe, zwłaszcza jeśli pacjent ma problemy z krzepliwością krwi lub przyjmuje leki przeciwzakrzepowe. Uszkodzenia nerwów mogą prowadzić do uczucia drętwienia lub bólu w okolicy twarzy, co może być nieprzyjemne dla pacjenta. Inne potencjalne powikłania to problemy z integracją implantu z kością, co może skutkować jego luzowaniem lub wypadnięciem. Dlatego tak ważne jest przestrzeganie zaleceń lekarza przed i po zabiegu oraz regularne wizyty kontrolne w celu monitorowania stanu zdrowia jamy ustnej.
Jak dbać o implanty zygomatyczne po ich wszczepieniu
Prawidłowa pielęgnacja implantów zygomatycznych jest kluczowa dla ich długowieczności i zdrowia jamy ustnej. Po zabiegu pacjenci powinni ściśle przestrzegać zaleceń lekarza dotyczących higieny jamy ustnej oraz diety. W pierwszych dniach po operacji zaleca się unikanie twardych i ostrych pokarmów, które mogą podrażnić miejsce wszczepienia. Ważne jest również regularne szczotkowanie zębów oraz stosowanie nici dentystycznej w okolicy implantów, aby zapobiec gromadzeniu się płytki nazębnej i resztek pokarmowych. Pacjenci powinni także unikać palenia papierosów oraz nadmiernego spożycia alkoholu, ponieważ te czynniki mogą negatywnie wpłynąć na proces gojenia i integracji implantu. Regularne wizyty kontrolne u dentysty są niezbędne do monitorowania stanu zdrowia jamy ustnej oraz wykrywania ewentualnych problemów na wczesnym etapie. Dbanie o zdrową dietę bogatą w witaminy i minerały wspiera proces gojenia oraz ogólny stan zdrowia pacjenta.
Jak długo trwa proces gojenia po wszczepieniu implantów zygomatycznych
Proces gojenia po wszczepieniu implantów zygomatycznych jest kluczowym etapem całej procedury i może trwać od kilku tygodni do kilku miesięcy, w zależności od indywidualnych predyspozycji pacjenta oraz skomplikowania zabiegu. W początkowej fazie gojenia organizm zaczyna integrować implant z otaczającą tkanką kostną, co jest kluczowe dla stabilności implantu. W tym czasie pacjenci mogą doświadczać lekkiego dyskomfortu lub obrzęku w okolicy miejsca wszczepienia, co jest normalną reakcją organizmu na interwencję chirurgiczną. Warto zaznaczyć, że czas gojenia może być wydłużony u osób palących papierosy lub cierpiących na choroby przewlekłe takie jak cukrzyca czy choroby serca. Po zakończeniu procesu gojenia można przystąpić do wykonania koron protetycznych, które będą osadzone na implantach. Regularne kontrole u dentysty pozwalają na monitorowanie postępu gojenia oraz wczesne wykrywanie ewentualnych problemów.
Jakie są alternatywy dla implantów zygomatycznych
Choć implanty zygomatyczne stanowią doskonałe rozwiązanie dla osób borykających się z niedoborem tkanki kostnej w szczęce, istnieją również inne opcje leczenia stomatologicznego, które mogą być rozważane w zależności od indywidualnych potrzeb pacjenta. Jedną z alternatyw są tradycyjne implanty stomatologiczne, które można zastosować u pacjentów posiadających wystarczającą ilość tkanki kostnej w żuchwie lub szczęce. W przypadku braku odpowiedniej ilości kości można rozważyć zabieg przeszczepu kości, który pozwala na odbudowę tkanki kostnej przed umieszczeniem standardowych implantów. Innym rozwiązaniem są mosty protetyczne lub protezy ruchome, które mogą być stosowane jako tymczasowe lub stałe uzupełnienia brakujących zębów. Mosty wymagają jednak szlifowania zdrowych zębów sąsiadujących, co nie zawsze jest akceptowalne dla pacjentów. Protezy ruchome oferują prostsze rozwiązanie, ale często wiążą się z dyskomfortem i ograniczeniami funkcjonalnymi.
Jak przygotować się do zabiegu wszczepienia implantów zygomatycznych
Przygotowanie do zabiegu wszczepienia implantów zygomatycznych jest kluczowe dla zapewnienia jego sukcesu oraz minimalizacji ryzyka powikłań. Na początku warto umówić się na szczegółową konsultację ze specjalistą stomatologii implantologicznej, który oceni stan zdrowia jamy ustnej oraz przeprowadzi niezbędne badania diagnostyczne takie jak tomografia komputerowa czy zdjęcia rentgenowskie. Lekarz omówi również przebieg zabiegu oraz odpowie na wszystkie pytania dotyczące procedury i okresu rekonwalescencji. Ważnym krokiem jest także dostarczenie informacji o przyjmowanych lekach oraz chorobach przewlekłych, które mogą wpłynąć na przebieg operacji. Przed samym zabiegiem zaleca się unikanie palenia papierosów oraz alkoholu przez kilka dni, ponieważ te substancje mogą negatywnie wpłynąć na proces gojenia. Pacjenci powinni również zadbać o odpowiednią dietę bogatą w składniki odżywcze wspierające organizm przed operacją.




